Беременность двойней

А через некоторое время, с помощью ультразвукового исследования, может выясниться, что женщине нужно ожидать появления на свет ни одного, а сразу двух деток. С таким диагнозом, на беременную маму ложится двойная ответственность, а на врача – двойной уровень внимания при наблюдении такой беременности.
На женщину ложится ответственность, которая будет выражаться в более частом посещении врача, сдаче анализов, более бережном отношении к себе и собственному здоровью.
Беременность двойня – почему так происходит?
Конечно, многоплодной беременностью называют не только, когда в утробе матери развивается два эмбриона, но и три, четыре, пять. Просто наиболее часто многоплодная беременность наступает именно с двойней.
Как происходит беременность близнецами?
Дело в том, что иногда в момент зачатия происходит оплодотворение сразу двух яйцеклеток, и обе они выживают, прикрепляются к стенке матки, и начинают свое развитие. Еще одна причина получения двойни – деление одной яйцеклетки оплодотворенной на два эмбриона.
- Главным фактором рождения близнецов в медицине считается наследственная предрасположенность.
- Вторым фактором, который обусловливает рождение близнецов, это возраст будущей матери. Обычно близнецы рождаются у женщины после тридцати пяти лет.
- третий фактор возможного появления близнецов – репродуктивные современные технологии. К таковым относятся: гормональное лечение от бесплодия и экстракорпоральное оплодотворение.

Беременность двойня – как узнать?
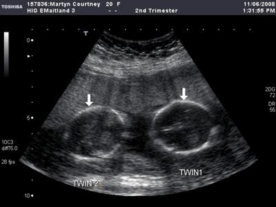
Всего лишь пару десятилетий назад, будущая мать могла узнать о появлении на свет сразу двух деток только в момент родов. Сегодня, когда настал век, стремительно развивающихся новых технологий, с помощью ультразвукового исследования, об этом узнают уже на начальных сроках беременности. Примерно начиная с десятой недели беременности, врач может определить с помощью аппарата УЗИ наличие двух плодов, которые развиваются одновременно.
Нередко, заподозрить многоплодную беременность возможно при некоторых субъективных признаках или нехарактерному самочувствию женщины. При многоплодной беременности, как правило, усиливается и учащается утренняя тошнота, сопровождающаяся рвотой. В некоторых случаях многоплодной беременности происходит более ощутимое, чем во время одноплодной беременности, болезненное состояние и набухание молочных желез.
!

Иногда у будущей мамы близнецов усиливается аппетит (ей ведь приходится теперь есть за троих), и быстрее охватывает чувство усталости.
Врач, в свою очередь, примерно на тринадцатой неделе начинает прослушивать двойное сердцебиение, что так же свидетельствует о наличии двойни.
Беременность двойня - каков вес новорожденных и сколько может прибавить мать?
При нормальном вынашивании близнецов беременная женщина обязана посещать врача, наблюдающего беременность один раз в десять дней, а с двадцать четвертой недели – раз в семь дней. Часто женщины с многоплодной беременностью беспокоятся о слишком малом весе своих детей, что является совершенно напрасным.
Каждый из близнецов, как правило, отличается от деток, рожденных при нормальной беременности, не более чем на четыреста грамм, в меньшую сторону. И если при беременности с одним ребенком, по нормам мать может набрать десять – двенадцать килограмм, то при многоплодной беременности – до пятнадцати килограмм.
Беременность двойня – поведение мамы
Чтобы избежать каких-либо негативных последствий многоплодной беременности, будущей матери необходимо неукоснительно выполнять все рекомендации наблюдающего беременность врача, с повышенной осторожностью относиться к себе и своему организму, следить за состоянием своего здоровья.
В первую очередь, важно составить для себя режим дня, где большей частью время будет отведено для полноценного отдыха. Это обязательное условие для нормального течения многоплодной беременности. Если требует организм, необходимо будет даже соблюдать постельный режим.
Обязательно следует следить за своим весом, питаться тоже необходимо по индивидуально составленной схеме и рациону. Чтобы не набирать лишних килограммов, но обеспечивать обоих развивающих деток необходимыми питательными веществами, важно составить свой рацион так, чтобы в нем были продукты с максимальным количество железа, кальция, фолиевой кислоты, и прочими веществами, которые порекомендует врач. В рацион питания беременной двойней женщины должны входить каши, говядина, печень, фасоль, дыни, шпинат. Важно также принимать пищу маленькими порциями, но вдвое чаще, чем в обычной жизни.
Во время многоплодной беременности очень важно все время слушать собственный организм, и при самых малых неприятных или болезненных ощущениях обращаться к специалисту – врачу за консультацией.
Беременность двойня – как насчет родов?
Как правило, любая многоплодная беременность завершается родами уже на тридцать седьмой неделе. Обусловлено это слишком высокой нагрузкой на матку. А когда до тридцать девятой недели роды не наступают естественным образом, их иногда начинают вызывать, стимулировать схватки. Нередко, чтобы во время родов не случилось ничего плохого и непредвиденного.
Как правило, детки – близнецы появляются на свет с промежутком в десять – пятнадцать минут.
Существует целый ряд показаний для кесарева сечения, при многоплодной беременности.
- наличие гестоза, разной степени тяжести.
- обязательно делается кесарево сечение, когда у женщины один или оба ребенка не успели принять правильное положение перед родами, и у нее диагностируется ягодичное предлежание.
- кесарево сечение делается при гипоксии одного или обоих детей.
- показанием к кесареву сечению является вес обоих малышей более шести килограмм.
При отсутствии всех этих показаний к кесареву сечению, женщина вполне может рожать естественным путем. Согласно статистическим данным, каждая вторая многоплодная беременность оканчивается здоровым и естественным родоразрешением.
!
